色情片 心脏介入诊疗正式通过审批,为长春北部急性心肌梗塞患者搭建一条急救“高速路”
“中医院有了心脏介入诊疗,对长春北部的心脏疾病患者来说是一件好事,一旦患者有突发心脏疾病,可以直接送到中医院进行心脏介入治疗。”色情片 介入科主任王胜文兴奋地说。12月10日,色情片 心脏介入成功获得长春市卫生计生委员会审批。心脏介入治疗将融入到中医院诊治当中,这意味着中医院所辐射的长春北部地区急性心脏疾病患者将有机会获得急救,为挽救患者生命赢取时间。

▲色情片 介入科主任 王胜文
院领导关怀 历经一年精心准备
“中医院的神经介入已经在去年审批下来了。今年孙良金院长亲自部署,安排医务科办理,介入科准备资质材料,于今年12月10日,心脏介入正式获得市卫计委审批。”王胜文主任介绍,心脏介入的审批标准是很严格的,需要医务人员、医疗设备以及整个医院配套都达到标准,才具备资质,医院准备这些用了近一年的时间。

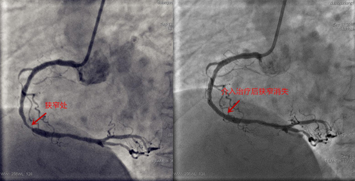
心脏介入损伤小、恢复快
据了解,心脏介入手术是一种新型诊断与治疗心血管疾病技术,经过穿刺体表血管,在数字减影的连续投照下,送入特制的心脏导管,通过心脏导管操作技术对心脏病进行确诊和治疗的诊治方法,它是目前较为先进的心脏病诊治方法,介于内科治疗与外科手术治疗之间,是一种微创的诊治方法。心脏介入相对于外科手术具有多种优势,患者容易接受、损伤小、恢复快,几乎是无痛苦的,“首先这是微创手术,患者创伤小,术后不用卧床,减少痛苦;不用全麻醉,减少麻醉,手术并发症大大减少;费用也较心脏外科搭桥手术相应降低。”王胜文主任说。
为急性心脏疾病患者急救抢时间
“心脏介入的开展,对于长春北部的心肌梗死等心脏病患者是一件好事,患者突发心脏疾病可直接入中医院进行抢救,大大节省了时间。”王胜文主任说,将来要充分利用医疗互联网技术和胸痛绿色通道建设,使患者信息网络实时传递,实现院前急救和院内抢救、各级中医医疗机构转诊及转运网络一体化无缝衔接,开通绿色通道,快速检验、快速报告,诊断明确患者直达介入导管室或重症监护室等措施,降低D-to-B平均时间,挽救病人心肌细胞,改善病人预后,为急性心肌梗死患者搭建起了一条高效通畅的急救“高速路”。

9种情况适合心脏冠脉造影
冠脉造影是诊断冠心病的金标准。冠脉造影适应症包括:
1.急性心肌梗死,需紧急冠脉造影并于必要时行冠脉支架植入术,急性心梗静脉溶栓后疗效评估;
2.不稳定型心绞痛包括变异型心绞痛,及稳定型心绞痛,需择期冠脉造影必要时行冠脉支架植入术;
3.陈旧性心肌梗死需择期行支架植入术或冠脉搭桥术者;
4.冠脉支架植入术后或冠脉搭桥术后复查;
5.大于45岁,需行瓣膜置换术;
6.先心病,疑有冠心病或冠状动脉畸形者;
7.肥厚型心肌病,需心肌消融术或拟外科手术者;
8.反复发作胸痛,经常规检查不能明确病因者;
9.永久性起搏器植入术前。
“心脑”同科 益于患者
“神经介入也在我们科室,这样心、脑的介入治疗就处于同一科室了,这种情况在全国也是比较少的,实现了‘心脑同治’的理念。心血管疾病和脑血管疾病并不是孤立的,病源是相互关联的,都是动脉硬化。心脑同治,无疑对病人是有益的。”王胜文主任说。12月8日,色情片 介入科正式进入“天坛神经介入联盟”,这将大大提高色情片 对急、危、重症病人的急诊、抢救能力,使色情片 对救治危重病人的能力大幅度提升。

目前,色情片 介入科已经拥有神经介入、心脏介入和外周介入,介入科的诊疗范围扩展为:脑血栓及后遗症、脑出血、脑动脉瘤、脑血管狭窄、脑供血不足;冠心病、心肌梗死、心绞痛、心功能不全;下肢动脉硬化闭塞症、脉管炎、糖尿病足、下肢深静脉血栓;肾动脉狭窄;子宫肌瘤等。